メスのモルモットは虫歯とも呼ばれる生殖器官を持っており、除去しないと感染したり、ガンに悩まされたり、妊娠したり、嚢胞化したり、その他の問題が発生したりする可能性があります。人間の女性と同様に、 モルモットの 卵巣にも嚢胞が発生し、痛みなどのさまざまな問題を引き起こす可能性がありますが、ありがたいことに、これらの嚢胞性の問題は簡単な外科手術で回避できます。
卵巣とは何ですか?
卵巣は、人間や動物の生殖管の卵子を排泄する部分です。メスのモルモットが持つ「V」字型の子宮の両端にあり、ホルモンを分泌する小さな腺でもあります。これらの腺は非常に複雑で、卵胞、空の卵胞からの黄体、卵子などの正常で重要なものを発達させますが、避妊されていないメスのモルモットに問題を引き起こす液体で満たされた嚢胞を作成することもあります。
嚢胞とは何ですか?
嚢胞は、空気、膿、または別の液体などの何らかの物質で満たされた単なる組織内のポケットです。卵巣嚢腫は、メスのモルモットの卵巣内にある液体で満たされたポケットまたは泡で、卵巣内の卵胞が本来放出すべき卵子を放出しないときに発生します。人間にもさまざまな種類の卵巣嚢腫が発生します。
モルモットにおいて嚢胞性卵巣が問題となるのはなぜですか?
モルモットの嚢胞性卵巣に関する最大の懸念は、卵巣が破裂するときであり、これは非常に痛みを伴う場合があります。モルモットは嚢胞が破裂する前からすでに不快感を感じており、モルモットは不快感や痛みを感じると食事や排便を止めるため、たとえ破裂しなくても嚢胞があるだけでイレウスを発症すると生命を脅かす可能性があります。
イレウス 、つまり消化管うっ滞は、直ちに対処しなければモルモットを死に至らしめます。
あなたのモルモットに嚢胞性卵巣があるかどうかはどうやってわかりますか?
卵巣嚢腫の明らかな症状は、モルモットの腹部に現れる対称的な脱毛症です。モルモットのお腹の両側で同じ脱毛が見られる場合は、卵巣に問題があることを示す明らかな兆候です。多くの飼い主は、モルモットに シラミのような外部寄生虫 がいると考えて、脱毛症の治療のためにモルモットを獣医師に連れて行きますが、脱毛症にはもっと大きな原因があることに気づきます。
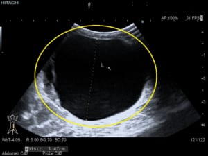
エキゾチック獣医は、身体検査を行っているときに、腹部の不快感とともにモルモットの内部に大きな嚢胞または一対の嚢胞を感じることがあります。獣医師は、嚢胞性卵巣の有無を確認するために X 線または腹部超音波検査を推奨する場合があります。診断を行うために、腹部と嚢胞に針を挿入して嚢胞内の液体を採取しようとすることもあります。
嚢胞性卵巣に対して何ができるでしょうか?
嚢胞性卵巣を「修復」する唯一の方法は、それらを除去することです。通常、モルモットにはできるだけ早く卵巣子宮全摘術(避妊手術とも呼ばれます)が推奨されます。たとえ嚢胞性卵巣がなかったとしても、エキゾチック獣医は通常どおりにモルモットの避妊手術を行い、モルモットの問題を解決し、再発を防ぎます。
モルモットの卵巣には他にどのような問題があるのでしょうか?
嚢胞の発生に加えて、残念ながらモルモットの卵巣には腫瘍やがんが発生する可能性もあります。モルモットの感染を防ぐ最善の方法は、避妊手術を受けることです。卵巣子宮摘出術が行われる場合、モルモットの避妊手術では卵巣が完全に除去されます。
人々の場合、通常は子宮摘出術のみが行われ、卵巣子宮摘出術は行われません。これは、人間の場合は子宮のみが切除されることを意味しますが、ペットの場合は通常、子宮とともに卵巣も切除されます。これは、モルモットの扱いに経験のある獣医師にとって日常的な手順です。
卵巣は、モルモットが妊娠するのにも重要な役割を果たします。卵巣は卵を放出し、オスとメスのモルモットが交尾すると受精することができます。モルモットの赤ちゃんは、世話に多くの時間、場所、金銭が必要なため、ほとんどのペットの飼い主が欲しがるものではありません。
